首页 >> 腦膠質瘤 >>
頭部腫瘤的症狀:早期發現與診斷的重要性

看文字太慢,一鍵在線咨詢更快捷
 
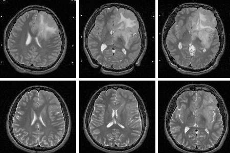
頭部腫瘤是一種嚴重的疾病,它可能在早期就表現出一些症狀。了解頭部腫瘤的症狀以及如何早期發現和診斷是至關重要的。本文将詳細介紹頭部腫瘤的症狀,以及爲何早期發現和診斷對于治療和預後具有重要意義。
 
頭部腫瘤的症狀
 
頭痛:頭痛是頭部腫瘤最常見的症狀之一。這種頭痛可能與平常的頭痛有所不同,表現爲持續性或進行性的頭痛,可能會加重。尤其是當頭痛在清晨或睡眠中被喚醒時,應引起特别注意。
 
視力問題:頭部腫瘤可能導緻視力問題,包括視力模糊、視力下降、複視等。這些症狀可能與眼部疾病相似,但實際上可能是頭部腫瘤的迹象。
 
聽力問題:頭部腫瘤可能導緻聽力問題,包括聽力下降、耳鳴等。這些症狀可能與耳部疾病相似,但實際上可能是頭部腫瘤的迹象。
 
情緒波動:頭部腫瘤可能導緻情緒波動,包括情緒低落、焦慮、抑郁等。這些症狀可能與精神疾病相似,但實際上可能是頭部腫瘤的迹象。
 
惡心和嘔吐:頭部腫瘤可能導緻惡心和嘔吐,尤其是當腫瘤位于顱内壓增高部位時。這些症狀可能與胃腸道疾病相似,但實際上可能是頭部腫瘤的迹象。
 
行走困難:頭部腫瘤可能導緻行走困難,包括步态不穩、協調能力下降等。這些症狀可能與神經系統疾病相似,但實際上可能是頭部腫瘤的迹象。
 
記憶力和思維問題:頭部腫瘤可能導緻記憶力和思維問題,包括記憶力下降、思維遲緩等。這些症狀可能與認知障礙相似,但實際上可能是頭部腫瘤的迹象。
 
早期發現與診斷的重要性
 
早期發現和診斷頭部腫瘤對于治療和預後具有重要意義。在早期階段,腫瘤通常較小,生長緩慢,因此治療效果更好,生存率更高
常見腫瘤健康科普

廣州中醫藥大學金沙洲醫院國際精准腫瘤中心

本網站信息僅提供給您作為健康參考,請勿將它作為診斷或治療的唯一依據。

Copyright 2011 - 2023 www.gzjszyy.com All Rights Reserved.
SiteMap