腦瘤:一種嚴重的神經系統疾病
看文字太慢,一鍵在線咨詢更快捷
腦瘤是一種發生在大腦内部的腫瘤,它可能是良性的,也可能是惡性的。無論腦瘤的類型如何,它都是一種嚴重的神經系統疾病,可能會對患者的生命健康産生重大影響。
腦瘤的基本知識
腦瘤是指發生在大腦内部的腫瘤,它可以發生在大腦的任何部位。根據其性質,腦瘤可以分爲良性和惡性兩種。良性腦瘤生長緩慢,邊界清晰,通常不會擴散到其他部位;而惡性腦瘤則生長迅速,邊界不清,容易擴散和轉移。此外,腦瘤還可能分爲顱内腦瘤和顱外腦瘤兩種,其中顱内腦瘤是指發生在大腦内部的腫瘤,而顱外腦瘤則是指發生在大腦外部的腫瘤。
腦瘤的症狀
腦瘤的症狀因腫瘤的位置、大小和性質而異,但通常包括以下幾個方面:
頭痛:腦瘤可能導緻頭痛,這種頭痛可能會随着腫瘤的生長而加劇。頭痛通常在早晨或晚上更爲嚴重,并可能影響到日常活動。
視力問題:腦瘤可能會壓迫視神經,導緻視力下降或視野缺損。患者可能會發現他們無法清晰地看到某些物體,或者他們的視野中存在盲點。
惡心和嘔吐:腦瘤可能會導緻顱内壓力升高,從而引發惡心和嘔吐。患者可能會頻繁地感到惡心,并可能出現嘔吐。
癫痫:如果腦瘤位于大腦的某些特定區域,可能會導緻癫痫發作。癫痫的症狀可能包括身體抽搐、喪失意識等。
情緒和性格改變:腦瘤可能會影響大腦中負責情緒和性格的區域。患者可能會感到情緒波動、焦慮、抑郁或性格改變。
運動和感覺障礙:如果腦瘤壓迫了運動或感覺神經,可能會導緻肌肉無力、麻木或其他類似的症狀。
記憶和思維問題:腦瘤可能會影響大腦的記憶和思維功能。患者可能會感到記憶力下降,或者在決策過程中遇到困難。
腦瘤的診斷和治療
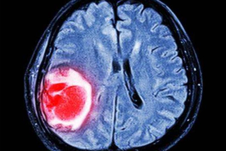
診斷腦瘤需要進行一系列的檢查,包括頭顱CT、MRI、PET-CT等影像學檢查,以及血液檢查、神經心理學檢查等。通過這些檢查,醫生可以确定腦瘤的位置、大小、性質以及與周圍組織的 關系,從而制定出合适的治療方案。
治療腦瘤的方法包括手術切除、放射治療和藥物治療等。對于良性腦瘤,手術切除是最常用的方法,但有些情況下可能需要使用放射治療或藥物治療。對于惡性腦瘤,手術切除、放射治療和藥物治療等綜合治療方法更爲常見。此外,免疫治療、基因治療等新型治療方法也在研究中取得了一些進展。